
간암의 초기증상
초기 간암은 증상이 없습니다. 복부통증이나 덩어리 복부 팽만감, 체중감소, 심한 피로감 등은 상당히 진행되어야 증상이 나타납니다. 많이 진행된 간암으로 진단받은 환자들이 흔히 하는 말이 증상도 없었는데 간암이 되었다고 합니다.
침묵의 장기라는 별명까지 붙은 간은 병이 생기더라도 인지할 수 있는 증상은 한참 지나서 나타나기 때문에 초기에 발견하는 것이 어렵습니다.



간암의 신호
그럼에도 불구하고, 몇 가지 증상은 간암이나 기타 간 질환을 의심할 수 있는 신호로 간주될 수 있습니다. 이러한 초기 증상에는 다음과 같은 것들이 포함될 수 있습니다:
복통 또는 오른쪽 상복부의 불편함: 간은 복부의 오른쪽 상단에 위치해 있으며, 간암으로 인해 이 지역에서 통증이나 불편함이 발생할 수 있습니다.
체중 감소: 의도하지 않은 체중 감소는 간암을 포함한 여러 종류의 암에서 흔히 보고되는 증상입니다.
식욕 부진: 식욕 감소 또한 간암 환자에게 흔히 나타나는 증상 중 하나입니다.
피로감: 지속적이고 설명할 수 없는 피로감은 간암 초기 단계에서 나타날 수 있는 증상입니다.
황달: 간 기능 장애로 인해 발생하는 황달은 피부와 눈의 흰자위가 노랗게 변하는 것을 특징으로 합니다. 이는 간암의 초기 증상일 수 있지만, 다른 간 질환에서도 나타날 수 있습니다.
가려움증: 피부에 담즙 염분이 쌓이면서 발생하는 전신적인 가려움증이 간암의 증상일 수 있습니다.
복부 팽만: 복수(복부에 액체가 쌓이는 상태)로 인한 복부 팽만감은 간암의 가능한 초기 증상입니다.
메스꺼움 또는 구토: 이러한 소화기 증상은 간암의 초기 단계에서 나타날 수 있습니다.
변색된 대변 또는 소변: 간 기능 장애로 인해 대변이 밝은 색으로 변하거나 소변이 어두워질 수 있습니다.
쉽게 멍이 들거나 출혈: 간암은 간이 응고 인자를 생산하는 능력에 영향을 줄 수 있어, 쉽게 멍이 들거나 출혈이 발생할 수 있습니다.
간 또는 비장의 확대: 오른쪽(간) 또는 왼쪽(비장) 갈비뼈 아래에 덩어리가 느껴지는 것은 간암의 신호가 될 수 있습니다.


이러한 증상은 간암에만 국한되는 것은 아니며, 다른 건강 문제에서도 나타날 수 있습니다. 따라서, 위의 증상 중 하나 이상을 경험하는 경우, 정확한 진단과 적절한 치료를 위해 전문의의 진료를 받는 것이 중요합니다.
간암은 조기에 발견될수록 치료 결과가 더욱 좋을 수 있으므로, 위험 요소가 있는 개인은 정기적인 건강 검진과 간 기능 검사를 받는 것이 권장됩니다.
간암의 초기 진단법
간암의 조기 진단은 치료 성공률을 높이고 환자의 생존율을 개선하는 데 매우 중요합니다. 특히 간세포암(hepatocellular carcinoma, HCC)의 조기 진단을 위해 사용되는 여러 방법들이 있습니다. 다음에 소개하는 진단 방법은 간암의 조기 발견, 평가, 그리고 모니터링하는데 사용됩니다. 다음은 간암을 조기에 진단하기 위해 널리 사용되는 몇 가지 방법입니다:
혈액 검사:
알파-태아 단백질(AFP) 검사: AFP는 간암 환자의 혈액에서 높은 수치로 나타날 수 있는 단백질입니다. AFP 수치의 증가는 간암을 포함한 다양한 조건을 나타낼 수 있으나, 이 검사는 조기 진단과 모니터링에 유용할 수 있습니다.
간 기능 검사: 이 검사는 간이 제대로 기능하고 있는지 평가합니다. 간 기능의 이상은 간암 또는 다른 간 질환을 나타낼 수 있습니다.



영상 진단 검사:
초음파 검사: 간암의 조기 발견을 위한 첫 번째 단계로 종종 사용됩니다. 이 검사는 비침습적이며, 간의 이상을 찾는 데 도움이 될 수 있습니다.
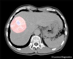
컴퓨터 단층촬영(CT) 스캔: CT 스캔은 간과 복부의 상세한 이미지를 제공하여 종양의 위치, 크기, 그리고 가능한 전이를 평가하는 데 도움이 될 수 있습니다.
자기 공명 영상(MRI) 검사: MRI는 CT 스캔보다 더 상세한 이미지를 제공할 수 있어, 간암의 진단 및 간의 다른 병변 평가에 유용합니다.
간 조직 검사(간 생검):
간암이 의심되는 경우, 직접적인 종양 조직의 샘플을 채취하여 미세하게 검사하는 방법입니다. 이는 확진 진단을 위해 종종 필요하며, 암의 유형과 단계를 결정하는 데 도움이 될 수 있습니다.
간암 위험이 높은 환자를 위한 정기적인 감시:
만성 B형 또는 C형 간염, 간경변, 가족력 등 간암 발병 위험이 높은 환자들은 정기적인 감시가 필요할 수 있습니다. 이러한 환자들은 정기적으로 혈액 검사와 영상 진단 검사를 받아 간암의 조기 발견을 위해 모니터링됩니다.
간암의 조기 진단은 효과적인 치료 계획을 수립하고 예후를 개선하며 생존율을 높이는 데 결정적인 역할을 합니다.
오늘은 초기 증상이 없는 간암의 특징 및 진행성 간암으로 나타날 수 있는 증상과 간암을 초기 진단하는데 필요한 검사법들에 대해 알아 보았습니다.
